Interna Odontología Departamento Salud Oral FSFB
Universidad El Bosque
En la actualidad tenemos mayor evidencia de la asociación salud oral y masa ósea; por tanto, es importante conocer la interrelación que hay entre las distintas enfermedades sistémicas y la salud oral para realizar un abordaje clínico adecuado, considerando al paciente como un ser único, integral y completo. En este sentido analizaremos la relación entre la osteoporosis, tratamientos para osteoporosis y las distintas enfermedades de la cavidad oral. (1)
1. Enfermedad Periodontal
La enfermedad periodontal o la periodontitis afecta a las estructuras de sostén del diente llamado periodonto (cemento radicular, ligamento periodontal y hueso alveolar) debido a una infección crónica que forma bolsas entre el diente y el hueso que lo sostiene, provocando la movilidad y posterior pérdida de los dientes, además de una inflamación clínica de las encías con fácil hemorragia al contacto.
Figura 1. Diferencia entre un periodonto sano (derecho) y uno enfermo (izquierdo)
Figura 1. Diferencia entre un periodonto sano (derecho) y uno enfermo (izquierdo)
El evento primario de la periodontitis es la gingivitis causada por una pésima higiene oral seguida de la infección bacteriana, pero tambien el tabaquismo, factores genéticos, hormonales y nutricionales pueden contribuir a su desarrollo. Los factores de riesgo para la osteoporosis incluyen factores asociados a estadios avanzados de la enfermedad periodontal, tales como: edad, historia de pérdida de hueso, factores genéticos, hormonales, dietarios y estilo de vida. (2) Ya que ambas enfermedades reabsorben hueso, la osteoporosis es un factor de riesgo para la progresión de la periodontitis. De hecho, en estudios realizados en pacientes osteoporóticos se encontró una baja masa y densidad ósea mandibular y una cortical mandibular más delgada cuando analizaron las radiografías panorámicas tomadas de estos pacientes. (3)
Figura 2. Imagen de una persona con periodontitis crónica avanzada
1. Aflojamiento dental
La mayoría de estudios reportan que una densidad mineral ósea baja está asociada a una mayor pérdida de diente. La pérdida de dientes sirve como evaluación de enfermedad periodontal, asumiendo que cuando se afloja un diente, el nivel de inserción de los tejidos de sostén de éste se pierden en un 100%.(2) Estudios recientes han encontraron que los niveles de calcio y vitamina D usados en osteoporosis tienen un efecto beneficioso en la retención de los dientes en el hueso. (4)
Cambios óseos y resortivos del hueso pueden ocurrir tanto en el cóndilo mandibular como en el componente temporal de la articulación temporomandibular y puede variar desde una pérdida ósea moderada a la destrucción severa de los componentes. Los hábitos y condiciones que provocan el desarrollo de la pérdida general de hueso en el esqueleto pueden alterar la armonía funcional del sistema estomatognático. De hecho, varios autores reportan que el mayor riesgo de fracaso quirúrgico en los desarreglos internos de la articulación temporomandibular es la osteoporosis. Por tal motivo es la importancia de realizar una evaluación y diagnostico preoperatorio adecuados para ayudar a minimizar los riesgos y garantizar el éxito quirúrgico a largo tiempo. (1)
Figura 3. Estructuras de la articulación temporomandibular
Figura 4. Resonancia magnética donde se observan cambios artrósicos en la cabeza condilar mandibular y desplazamiento anterior del menisco articular.
1. Necrosis maxilo-mandibular asociada al uso de bisfosfonatos
Los bisfosfonatos son medicamentos utilizados en el tratamiento de la hipercalcemia maligna, complicaciones esqueléticas asociadas a enfermedades metastásicas del hueso, enfermedad de Paget's, y osteoporosis. (5) La osteonecrosis de la mandibula es una condición clínica recientemente asociada al uso de bisfosfonatos nitrogenados. Los primeros reportes fueron descritos por el Dr. Robert Marx en el 2003. Clínicamente se observa una exposición del hueso, más frecuentemente en la mandíbula en la zona lingual de los molares. Hay una alta probabilidad de sobreinfección y difícil cicatrización del tejido blando y óseo que lo recubre. El riesgo de desarrollar osteonecrosis asociado a bisfosfonatos oscila entre 1/10,000 a 1/100,000 en pacientes que están en terapia con bisfosfonatos orales. El riesgo es mucho más alto en paciente con cáncer en altas dosis intravenosas, entre el 1% y 10%. (5) El tratamiento es paliativo, requiriendo administración de analgésicos, antibióticos y haciendo lavados antisépticos periódicos del hueso expuesto para prevenir o controlar la sobreinfección y el retiro de los secuestros óseos.
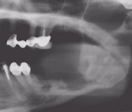
Figura 5. Osteonecrosis mandibular asociado a la ingesta de bisfosfonatos
Figura 6. Radiografía panorámica evidenciando necrosis mandibular.
1. Radiografías Panorámicas
Debido al aumento de la población femenina mayor de 50 años de edad en el mundo y la incidencia de fracturas osteoporóticas es necesario detectar pacientes con riesgo de fractura y osteoporosis tempranamente. Esto ha llevado a buscar métodos más costo-efectivos y depurados. Numerosas radiografías panorámicas son tomadas anualmente (aproximadamente 10 millones en Japón, 17 millones en Estados Unidos y 1.5 millones en Inglaterra y Escocia) con el fin de detectar patologías dentales, periodontales y maxilares. (6) Sería beneficioso y económico si estas radiografías pudieran ser utilizadas para identificar mujeres postmenopáusicas con osteoporosis no detectada para que los odontólogos pudieran remitirlas a los médicos para valoración y pruebas de densitometría ósea.
Cortical normal: El margen endoóseo de la cortical es uniforme y fuerte en ambos lados.
Cortical de ligera a moderadamente erosionada: el margen endoóseo
muestra los efectos semi-lunares (resorción lacunar)
o parece formar residuos endoóseo corticales.
Cortical severamente erosionada: la capa cortical forma residuos endoóseos pesados y es claramente porosa.
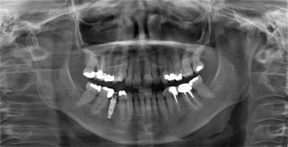
Figura 7. Radiografía panorámica de una paciente diagnosticada con osteoporosis. Se aprecia una disminución del grosor cortical y defectos lacunares reabsortivos.
A continuación menciono los índices reportados en la literatura para analizar cambios de hueso en las radiografías panorámicas.
1.1 Hueso trabecular del hueso mandibular:
El hueso trabecular es más susceptible a osteoporosis que el hueso cortical, por eso el patrón de trabeculado óseo, como en las vértebras y fémur proximal, es analizado visualmente o ayudado por computador para estimar la probabilidad de tener osteoporosis y predecir el riesgo de fractura. El hueso trabecular de la mandíbula está influenciado por el metabolismo óseo general, pero también por factores locales, como la inflamación inducida por infecciones dentales; por lo tanto se ha sugerido que el análisis de hueso mandibular es útil para detectar osteoporosis en radiografías panorámicas, sin embargo, esta posiciòn sigue siendo controversial dado que el hueso trabecular mandibular es fácilmente reabsorbido y /o esclerosado por infección local. Los grados de concordancia de la evaluación visual interexaminador e intraexaminador también se esperan que sean relativamente bajos porque el patrón del trabeculado de los maxilares es más diverso que la del esqueleto general, en especial las vértebras y fémur proximal. Además, el uso de un programa especializado de computador para analizar el trabeculado del hueso sería incompatible con el concepto básico de detectar osteoporosis en las clínicas dentales. (6)
5.2 Grosor cortical mandibular
Bras y col. fueron los primeros en describir en grosor de la cortical mandibular en el ángulo goniaco como una herramienta útil para evaluar pacientes con enfermedades metabólicas como la osteodistrofia renal. (7) Más adelante, varios investigadores evaluaron si esta medida era efectiva para detectar a los paciente mayores, en especial a las mujeres postmenopáusicas; sin embargo este índice no fue muy bueno ya que la medida en el ángulo es un área muy pequeña, la distorsión horizontal de la radiografía panorámica podría influenciar el resultado, el sitio de medida descrito por Bras y col, no es claro y finalmente, como los músculos maseteros y pterigoideos internos se insertan en el ángulo goniaco, la función oclusal podrían alterar la medición. (6) Por tal motivo se encontró una medida más confiable y validada que consiste en medir el grosor cortical bilateralmente en las radiografías panorámicas en el sitio donde queda el foramen mentoniano. (9) Se traza una línea paralela al eje longitudinal de la mandibular y tangencial al borde inferior de la mandíbula. Una línea perpendicular a esta tangencial, e intersectando el borde inferior del foramen se dibuja, de esta manera se mide con una regla el grosor y se promedia usando las dos medidas. (10)
Figura 8: Medición del grosor de la cortical
5.3 Forma de la cortical mandibular:
El método de Klemetti et al. en 1994, es un índice validado que describe la morfología cortical de la siguiente manera(8),
muestra los efectos semi-lunares (resorción lacunar)
o parece formar residuos endoóseo corticales.
Figura 9. Diferencias cualitativas de la cortical mandibular entre un paciente sano a otro con osteoporosis.
Conclusiones
Existe una clara relación entre la osteoporosis y alteración de la salud oral; y entre salud oral y uso de bisfosfonatos.
Es importante realizar una valoración previa al inicio de la terapia farmacológica para osteoporosis por un odontólogo especialista y con conocimiento sobre el tema con el fin de informarle al paciente el estado actual bucal, prevención, tratamiento, control y mantenimiento de la salud oral.
Los pacientes diagnosticados con osteoporosis se deben mantener periodontalmente sanos por riesgo de mayor pérdida de hueso, aflojamiento y pérdida de los dientes.
La radiografía panorámica es una herramienta útil para detectar pacientes con factores de riesgo asociados a osteoporosis y fracturas por fragilidad no diagnosticados y poder encaminarlos adecuadamente.
Bibliografía
1. Emel Dervis. Oral implications of osteoporosis. Oral Surg Oral Med Oral Pathol Oral RadiolEndod 2005;100:349-56
2. Geurs N. Osteoporosis and periodontal disease. Periodontology 2000, Vol. 44, 2007, 29–43
3. Geurs N et al. Osteoporosis and periodontal disease progression. Periodontology 2000, Vol. 32, 2003, 105–110
4. Krall E, et al. Calcium and vitamin D supplements reduce tooth loss in the elderly. The american journal of medicine. Vol 111. Oct 2001. pag 452-56
5. Landesberg R, et al. Potential pathophysiological mechanisms in osteonecrosis of the jaw. Ann N YAcad Sci. 2011 Feb;1218:62-79
6. Akira Taguchi. Panoramic radiographs for identifying individuals with undetected osteoporosis. Japanese Dental Science Review (2009) 45, 109—120
7. Bras J, van Ooij CP, Abraham-Inpijn L, Wilmink JM, Kusen GJ. Radiographic interpretation of the mandibular angular cortex: a diagnostic tool in metabolic bone loss. Part II. Renal osteodystrophy. Oral Surg Oral Med Oral Pathol 1982;53:647—50
8. Klemetti E, Kolmakov S, Kroger H Pantomography inassessment of the osteoporosis risk group. Scand J Dent Res(1994) 102:68–72
9. Taguchi A, Suei Y, Ohtsuka M, Otani K, Tanimoto K, OhtakiM. Usefulness of panoramic radiography in the diagnosisof postmenopausal osteoporosis in women. Width and morphologyof inferior cortex of the mandible. DentomaxillofacRadiol(1996) 25:263–267
10. Taguchi et al. Use of dental panoramic radiographs in identifying younger postmenopausal women with osteoporosis. OsteoporosInt (2006) 17: 387–394








